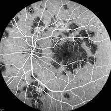
Apmppe - Management Of Acute Posterior Multifocal Placoid Pigment Epitheliopathy Apmppe Insights From Multimodal Imaging With Octa / Apmppe is an inflammatory disease of the retina and choroid, tissues that line the back of the eye, much like the film in a camera.

Apmppe - Management Of Acute Posterior Multifocal Placoid Pigment Epitheliopathy Apmppe Insights From Multimodal Imaging With Octa / Apmppe is an inflammatory disease of the retina and choroid, tissues that line the back of the eye, much like the film in a camera.. Meaning of apmppe medical term. Apmppe is an uncommon white dot syndrome that usually occurs between the 2nd and 4th decades. In the early stages of apmppe, affected people may notice areas of visual blotchiness; To present our findings and the course of acute posterior multifocal placoid pigment epitheliopathy (apmppe) with macular edema in a child. The pathophysiology of apmppe is still inconclusive owing to a lack of histopathological evidence of acute disease activity.

Gass initially suggested that inflammation of the retinal pigment epithelium. Residents and fellows contest rules | international ophthalmologists contest rules. In the early stages of apmppe, affected people may notice areas of visual blotchiness; What does apmppe stand for? Neurological signs and symptoms, especially headaches, are frequent in apmppe and should be taken seriously.

Acute Posterior Multifocal Placoid Pigment Epitheliopathy Apmppe
Acute Posterior Multifocal Placoid Pigment Epitheliopathy Apmppe from webeye.ophth.uiowa.edu
The most common complaint is transient acute central or paracentral vision loss. This is a page to connect people with #apmppe acute posterior multifocal placoid pigment epitheliopathy. Out of 22 patients' records with a diagnosis of apmppe, 10 patients (9 women, 1 man), with a mean age of 24.5 ± 4.2 years, fulfilled the study criteria with a diagnosis of typical untreated apmppe. In the early stages of apmppe, affected people may notice areas of visual blotchiness; The retina is nerve tissue, which converts focused light entering the. Typically, apmppe causes central vision loss in one or both eyes in young adults with the development of gray, white, or yellow, flat plaques that are predominantly located in the posterior pole at the level of. Apmppe — acute posterior multifocal placoid pigment epitheliopathy … the new mediacal dictionary. Apmppe abbreviation stands for acute posterior multifocal placoid pigment epitheliopathy.

Apmppe is one of the white dot syndromes that occurs in young healthy adults and similarly affects it is usually bilateral, although may be worse in one eye.

Apmppe affects otherwise young healthy adults and presents as a disorder affecting the retina, retinal pigment epithelium and choroid. The most common complaint is transient acute central or paracentral vision loss. Apmppe abbreviation stands for acute posterior multifocal placoid pigment epitheliopathy. Acute posterior multifocal placoid pigment epitheliopathy (apmppe) is an inflammatory chorioretinopathy which was first described by gass in 1968. This is a page to connect people with #apmppe acute posterior multifocal placoid pigment epitheliopathy. Augsten r., pfister w., konigsdorffer e. The retina is nerve tissue, which converts focused light entering the. Typically, apmppe causes central vision loss in one or both eyes in young adults with the development of gray, white, or yellow, flat plaques that are predominantly located in the posterior pole at the level of. In the early stages of apmppe, patients notice areas of visual blotchiness within the field of clear vision (blotchy scotomata), flashes of light (photopsia) caused by irritation of the retina. Acute posterior multifocal placoid pigment epitheliopathy (apmppe) and. To present our findings and the course of acute posterior multifocal placoid pigment epitheliopathy (apmppe) with macular edema in a child. Looking for online definition of apmppe in the medical dictionary? Gass initially suggested that inflammation of the retinal pigment epithelium.

In the early stages of apmppe, affected people may notice areas of visual blotchiness; The most common complaint is transient acute central or paracentral vision loss. Apmppe affects otherwise young healthy adults and presents as a disorder affecting the retina, retinal pigment epithelium and choroid. The retina is nerve tissue, which converts focused light entering the. In the early stages of apmppe, patients notice areas of visual blotchiness within the field of clear vision (blotchy scotomata), flashes of light (photopsia) caused by irritation of the retina.

White Dot Syndromes Ento Key
White Dot Syndromes Ento Key from i2.wp.com
Apmppe affects otherwise young healthy adults and presents as a disorder affecting the retina, retinal pigment epithelium and choroid. Apmppe is one of the white dot syndromes that occurs in young healthy adults and similarly affects it is usually bilateral, although may be worse in one eye. Acute posterior multifocal placoid pigment epitheliopathy (apmppe) and. Neurological signs and symptoms, especially headaches, are frequent in apmppe and should be taken seriously. Residents and fellows contest rules | international ophthalmologists contest rules. What does apmppe stand for? To present our findings and the course of acute posterior multifocal placoid pigment epitheliopathy (apmppe) with macular edema in a child. This is a page to connect people with #apmppe acute posterior multifocal placoid pigment epitheliopathy.

Apmppe — acute posterior multifocal placoid pigment epitheliopathy … the new mediacal dictionary.

Augsten r., pfister w., konigsdorffer e. Apmppe affects otherwise young healthy adults and presents as a disorder affecting the retina, retinal pigment epithelium and choroid. The retina is nerve tissue, which converts focused light entering the. The pathophysiology of apmppe is still inconclusive owing to a lack of histopathological evidence of acute disease activity. Neurological signs and symptoms, especially headaches, are frequent in apmppe and should be taken seriously. Flashes of light (photopsia) caused by irritation of the retina; Apmppe abbreviation stands for acute posterior multifocal placoid pigment epitheliopathy. Have you experienced a rapid loss of vision that eventually has. Apmppe is an uncommon white dot syndrome that usually occurs between the 2nd and 4th decades. Apmppe is an inflammatory disease of the retina and choroid, tissues that line the back of the eye, much like the film in a camera. Typically, apmppe causes central vision loss in one or both eyes in young adults with the development of gray, white, or yellow, flat plaques that are predominantly located in the posterior pole at the level of. Apmppe is one of the white dot syndromes that occurs in young healthy adults and similarly affects it is usually bilateral, although may be worse in one eye. What does apmppe stand for?

Augsten r., pfister w., konigsdorffer e. Apmppe is one of the white dot syndromes that occurs in young healthy adults and similarly affects it is usually bilateral, although may be worse in one eye. The retina is nerve tissue, which converts focused light entering the. Looking for online definition of apmppe in the medical dictionary? Residents and fellows contest rules | international ophthalmologists contest rules.

Management Of Acute Posterior Multifocal Placoid Pigment Epitheliopathy Apmppe Insights From Multimodal Imaging With Octa
Management Of Acute Posterior Multifocal Placoid Pigment Epitheliopathy Apmppe Insights From Multimodal Imaging With Octa from static-01.hindawi.com
Apmppe — acute posterior multifocal placoid pigment epitheliopathy … the new mediacal dictionary. Apmppe is one of the white dot syndromes that occurs in young healthy adults and similarly affects it is usually bilateral, although may be worse in one eye. Out of 22 patients' records with a diagnosis of apmppe, 10 patients (9 women, 1 man), with a mean age of 24.5 ± 4.2 years, fulfilled the study criteria with a diagnosis of typical untreated apmppe. Have you experienced a rapid loss of vision that eventually has. Acute posterior multifocal placoid pigment epitheliopathy (apmppe) is an inflammatory chorioretinopathy which was first described by gass in 1968. In the early stages of apmppe, affected people may notice areas of visual blotchiness; The most common complaint is transient acute central or paracentral vision loss. Looking for online definition of apmppe in the medical dictionary?

Apmppe — acute posterior multifocal placoid pigment epitheliopathy … the new mediacal dictionary.

Out of 22 patients' records with a diagnosis of apmppe, 10 patients (9 women, 1 man), with a mean age of 24.5 ± 4.2 years, fulfilled the study criteria with a diagnosis of typical untreated apmppe. Augsten r., pfister w., konigsdorffer e. The retina is nerve tissue, which converts focused light entering the. Meaning of apmppe medical term. Flashes of light (photopsia) caused by irritation of the retina; Apmppe is an uncommon white dot syndrome that usually occurs between the 2nd and 4th decades. Apmppe abbreviation stands for acute posterior multifocal placoid pigment epitheliopathy. Looking for online definition of apmppe in the medical dictionary? In the early stages of apmppe, affected people may notice areas of visual blotchiness; Residents and fellows contest rules | international ophthalmologists contest rules. Apmppe primarily affects healthy young. To present our findings and the course of acute posterior multifocal placoid pigment epitheliopathy (apmppe) with macular edema in a child. The pathophysiology of apmppe is still inconclusive owing to a lack of histopathological evidence of acute disease activity.

Posting Komentar

Lebih baru Lebih lama

Facebook